近日,苏大附四院疼痛科成功实施腰交感神经射频热凝+无水乙醇毁损术治疗一位糖尿病合并周围神经病变患者。患者术后双下肢疼痛和麻木症状明显减轻,夜间睡眠质量大幅改善。
患者孙老先生82岁,有2型糖尿病10年以上病史,长期注射甘精胰岛素,但血糖仍然控制欠佳,糖化血红蛋白为10.2%。近一年来,患者双侧脚趾、足背和小腿由远及近地出现对称性疼痛和麻木,主要表现为持续性针刺样和灼烧样不适,夜间疼痛加重,严重影响睡眠质量。患者曾在外院就诊,平时口服塞来昔布和普瑞巴林,外敷双氯芬酸二乙胺乳剂,但是镇痛效果欠佳。
患者经我院疼痛科初步诊断为糖尿病性周围神经痛(Diabetic Peripheral Neuropathic Pain, DPNP)。其腰椎CT检查提示腰椎管狭窄和腰椎间盘突出,双下肢疼痛和麻木症状究竟是神经根压迫所致,还是糖尿病诱发神经病变所致,需要仔细鉴别。疼痛科医师首先检测患者血糖和糖化血红蛋白,以明确糖尿病控制情况;然后测定其双下肢神经传导速度,以明确神经损害程度;接着实施诊断性治疗——超声引导下注射局麻药阻滞L2+L3节段交感神经。次日早晨患者反映不适症状有部分缓解。
该患者存在不仅有10年糖尿病历史,同时合并有高血压、高血脂、胃炎、脑梗塞、心功能不全和冠心病等多种疾病,还在2月前因冠心病接受了药物涂层球囊成形术。因患者长期服用多种药物,包括降压药、降糖药、降血脂药和抗血小板药等,导致身体状况复杂,疼痛科邀请内分泌科、心内科会诊,为其术后控制血糖和围术期出凝血风险制定计划并调整临时用药。
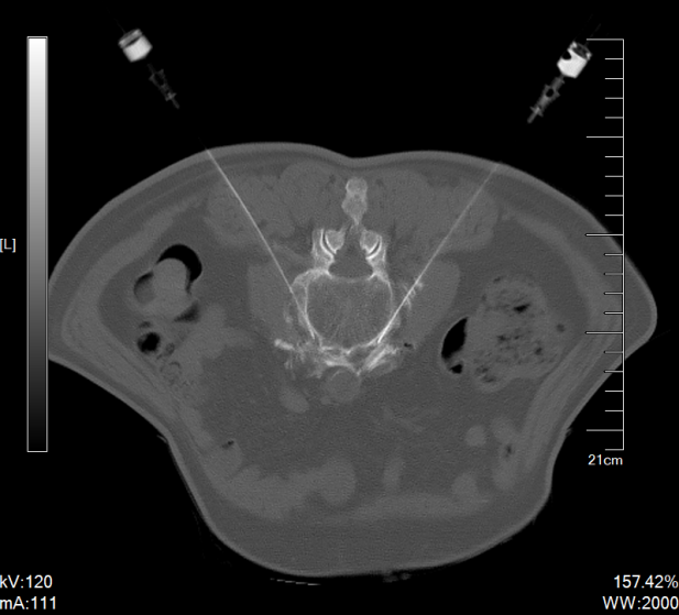
疼痛科团队术前认真讨论,并跟家属充分沟通手术风险,最后确定手术方案。在CT影像的帮助下,疼痛科医师们顺利为患者实施CT引导下腰交感神经射频消融+无水乙醇毁损术。手术后患者便感觉双下肢疼痛和麻木症状减轻,体温监测示其双侧足背皮温升高1.5℃-2.0℃。次日上午患者感觉双下肢疼痛和麻木症状显著减轻,夜间睡眠质量大幅改善,对治疗效果感到满意。
糖尿病性周围神经病变,属于糖尿病患者较为严重的远期并发症。患者长期血糖控制不佳,可导致高糖毒性、微血管损伤及代谢紊乱,继而损害其周围神经;临床表现为四肢远端对称性疼痛和麻木,主要影响双下肢,也可累及双上肢。典型症状是从双侧脚趾开始,向足部和小腿发展的针刺疼痛,夜间症状加重。若不早期控制,可进展为小腿皮肤发黑、足背皮温降低、足部溃疡,甚至有截肢风险。

目前,疼痛科开展有两种微创介入手术方法治疗干预糖尿病性周围神经痛。一种方法是腰交感神经节射频消融+无水乙醇毁损术,通过CT影像精准定位L2椎体下缘、L2-3椎间盘和L3椎体上缘,对腰交感神经节实施热凝和化学双重毁损,阻断交感神经对下肢血管收缩异常指令,从而扩张血管以改善组织血供,以缓解疼痛和麻木症状。另一种方法是脊髓电刺激器植入术(SCS),通过植入式电极向脊髓特定节段输送低强度电脉冲,从而阻断或调制疼痛信号传导,有效缓解疼痛。