另辟蹊径!我院骨科使用非常规手术成功救治一病危骨折老人
来源:骨外科 发布时间:2022-06-29 15:31:19 浏览次数:5156

  近日,苏州市独墅湖医院(苏州大学附属独墅湖医院)骨科运用非常规手术成功挽救了病危老人的生命。


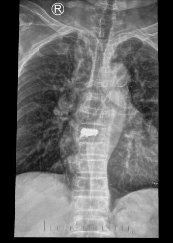
  吴老太太今年86岁,同时患有心脏病、老慢支、哮喘、糖尿病等多种疾病,不久前因为并发心衰、呼衰在独墅湖医院经抢救后脱离危险。然而不巧的是,几天前自己在家只轻轻扭了一下腰,就感觉背部疼痛难忍,寝食难安。于是来到我院骨科就诊,医生怀疑是脊柱骨质疏松性骨折,安排收治住院,对病患进行磁共振检查后证实是“第8胸椎压缩性骨折”。   

  医生在诊断后决定行经皮椎体后突成形术(简称PKP术),需要病人在全身麻醉下俯卧位,医生在全程透视下完成手术。对于一般的患者来说不成问题,而对吴老太太而言却难以实施。首先,她的全身情况较差,心肺功能不全,基础疾病多且严重。入院时就有明显的呼吸困难,氧饱和度只有70%左右,很难耐受全身麻醉。即使勉强度过手术阶段,术后也可能要气管插管,靠呼吸机维持生命,肺部感染则难以控制。其次,如果采用局部麻醉俯卧位手术,尽管可以规避全麻的风险,但该患者根本不能承受俯卧位对心肺功能的影响。但如果不采取手术,卧床以及日夜不停的疼痛对已经遭受过心衰和呼衰的吴老太太来说是雪上加霜。

  在常规办法难以实施时,独墅湖医院骨科的医生们决定另辟蹊径,挽救病患生命。常规手术主要面临两大难题:全身麻醉与俯卧位。那么如果采用局部麻醉与侧卧位呢?对!这就是解决问题的关键!局麻可以规避全麻的风险;侧卧可以避免俯卧对心肺的影响。如此,问题似乎迎刃而解了。但是,这样的改变,尤其是侧卧位完成PKP术,导致空间位置变了,手术的难度大大增加了。而且,吴老太太耳背,局麻侧卧位手术需要病人的配合,术中的沟通也是一个问题。尽管困难重重,这也是挽救老人家生命的唯一可行的办法。

  在与家属充分沟通后,3月11日上午,骨科姜为民主任亲自披挂上阵,杨小海主任医师等团队成员紧密配合,一切按计划进行。然而,刚开始消毒,预料中的问题出现了:患者开始扭动身体,又无法有效沟通,如此手术将难以继续下去。好在姜主任团队早有预案:静脉适量给药镇静。在麻醉科侯永恒副主任的密切配合下,患者恢复了平静,各项生命指标平稳。姜主任凭借高超的手术技巧,仅用25分钟即高质量地完成了这例非常规手术。

  术后回到病房,折磨了老太太数天的疼痛消失了,连术前呼吸困难哮喘等症状也明显改善,久违的笑容回到了她的脸上。在骨科护士长张霞芬护理团队的精心护理下,老人家恢复良好,第二天即下地活动。三天后转呼吸科继续肺部治疗,一周前呼吸科蒋军红主任告诉姜主任,老太太肺部情况大为改观,现已出院回家。至此,一场由骨科、麻醉手术科与呼吸科等科室共同完成的生命接力赛终于圆满画上了句号。

  姜为民主任表示:“迄今为止,这是我科成立一年多以来采用这种非常规手术的第4位患者,前三位患者年龄最小92岁,最大97岁。局麻+侧卧位完成PKP手术是针对特殊病人的有效手段,很好地契合了我们推崇的ERAS理念(Enhanced Recovery After Surgery,术后快速康复 ),有时甚至可以说是救命之举。当然,这种术式的难度较常规的PKP术要大得多,应谨慎实施。”


科普:骨质疏松性脊柱压缩骨折是中老年人,尤其是绝经后女性的常见疾病,因为激素水平的变化,很容易导致骨质疏松。如果骨质疏松严重的话,轻微的外力或者没有明显外伤的情况下也可能出现骨折,尤其是椎体压缩性骨折,导致患者出现难以忍受的腰背痛,致使患者卧床不起。同时,长时间的卧床会使老年人身体状况迅速恶化,部分患者甚至可能因此而失去生命。目前临床上解决这一难题的最佳方法是椎体强化术(一种微创手术),通俗来说就是向骨折椎体里注入骨水泥(一种医用固化剂),骨折的椎体迅速得到强化,术后疼痛立即缓解,术后即可下地行走,效果立竿见影。